Veterinary madness
The malpractice that isn't permitted to be practiced on humans

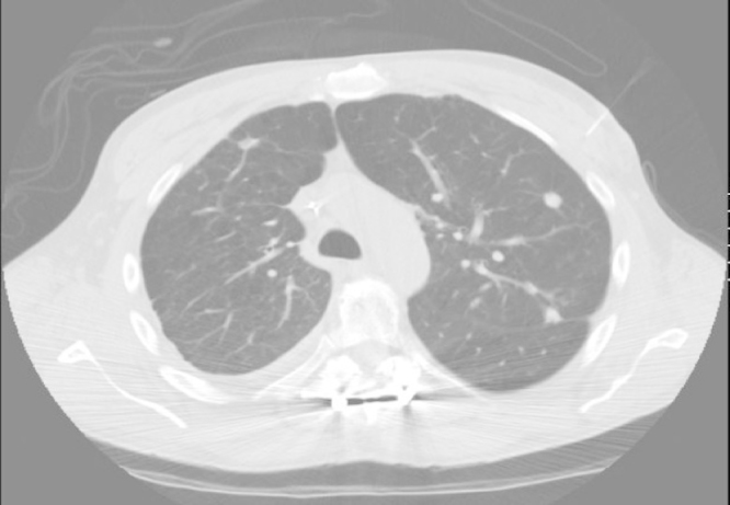
The human body is an unsuitable environment for heartworm and as the nematode dies it embolizes the pulmonary vessels causing infarction and eventual nodule formation that can present as a solitary or multiple pulmonary nodules …
So no, humans cannot really get heartworm, and there is a ready admission of this fact despite, well, what is the point of this article anyways? A heartworm dies, allegedly, in the human body. And I'm skeptical of complicated life cycle diagrams.
There are dogs that "worm their way" into a human heart only in a figurative sense, and the intentional misdiagnosis of it is then something of an allegory in such cases, such as human parents who must move and force their children to give up their pets.
Dogs diagnosed with "distemper" or "rabies" are considered to be either in a "bad mood" or "mad" not necessarily due to any particular organic disease or illness.
Veterinarians who castrate steers are another dubious case. I envision "steers" as a long-horned breed of cattle whereas "oxen" are more typically short-horned, but this does not mean they are castrated. In fact, female cows seem make strange wailing noises rather than the normal moo around castrated bulls. I do not work that closely with domestic cattle or horses, and in fact I am much more familiar with wild animals such as bears, moose, deer, lynx, cougars, wolves, coyotes bobcats, wolverines, etc.
Simian Immunodeficiency Virus? Feline Immunodeficiency Virus? If cats get AIDS, it's time to clock the vets. That would be the presumptive veterinary diagnosis for a gay man's housecat. False medical and veterinary diagnosis and malpractice do seem to attract a certain crowd of gays or physicians who target gays and perpetuate such evil practices. Men who talk too much about their health or medical issues among other men, for example.
